|
||
|
||
|
|
||
| Home |
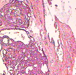
A 63-year-old woman presented with a long-term history of an asymptomatic nodular lesion on her nose. Physical examination revealed an exophitic translucent nodule, 12 mm in diameter, on the base of the nose. Surface telangiectasia was seen on the lesion and there was also scant serous discharge from the lesion .An incisional skin biopsy specimen was obtained from the lesion for histopathological evaluation . The diagnosis is ?
|
|
| Selected papers | ||
| Medical news | ||
| Members | ||
| Membership | ||
| Webwatch | ||
| Skin Care | ||
| Dermcalender | ||
| Cases | ||
| Text | ||
| Letters | ||
| Journals | ||
| Organizations | ||
| Foundations | ||
| General Sites | ||
| Quiz | ||
|
|
||
|
|
|
|
|
Diagnosis: Eccrine Hydradenoma Nodular hidradenoma, also called clear cell hidradenoma and eccrine spiradenoma is an uncommon sweat gland tumor, found mainly in adult females. The lesions are usually solitary and are most likely to be found on the scalp, face or anterior trunk (1). They are usually covered by intact skin, but some tumors show superficial ulceration and discharge serous material (1). Histologically the tumor is composed of lobulated masses located in the dermis and extending into the subcutaneous fat (2). It is composed of two cell types; the polygonal cells, whose glycogen content may give the cytoplasm a clear appearance, and elongated, darker and smaller cells, which may appear at the periphery. The tumor may be solid or cystic in varying proportions (3). From the clinical point of view, basal cell carcinoma should be kept in mind in differential diagnosis, especially when there is surface telangiectasia as in our case. In treating nodular hidradenoma, complete primary excision is advocated, but our patient refused this decision. References 1. MacKie RM. Tumors of the skin appendages. In: Rook /Wilkinson/Ebling, eds. Textbook of Dermatology. Oxford. Blackwell Science Ltd.1998:1695-1715 2. Elder D, Elentisas R, Ragsdale BD. Tumors of the epidermal appendages. In: Elder D, Elentisas R, Jaworsky C, Johnson B Jr, eds. Histopathology of the Skin. Philadelphia, Pa: Lippincott-Raven Publishers; 1997:747-803 3. Weedon D. Skin Pathology. New York, NY:Churchill Livingstone,1997: 713-755 |
||
|
||